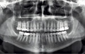
Hablar de la ortopantomografía es hablar de un tipo de técnica particular radiográfica panorámica en la que en una única imagen se pueden observar la parte maxilar, de la mandíbula y los dientes del paciente con el fin de brindar un diagnóstico preciso y ver las posibles patologías o alteraciones que puede sufrir.
Además de utilizarse para dar un diagnóstico se utiliza con el fin de planificar distintos tratamientos dentales y odontológicos ya que algunos de los datos que brinda son de las estructuras adyacentes y del aparato masticatorio, es decir de los dientes y huesos.
¿Qué beneficios brinda la realización de una ortopantomografía?
Al poder incluir ambas arcadas en la ortopantomografía así como también ver las estructuras óseas de los maxilares, la articulación y estructuras circundantes hace que sea una prueba muy útil en todos los sentidos.
Ademas de reducir la cantidad de radiación al que el paciente esta expuesto ya que solo dura unos segundos y se hace en una sola toma. Es una técnica muy cómoda ya que no hay que introducir la placa dentro de la boca y se hace de pie en un equipo abierto.
Hablar de la ortopantomografía es hablar de una radiografía panorámica que se realiza en una única imagen y que permite que el especialista pueda observar los maxilares, la mandíbula y por supuesto los dientes.
Gracias a ella, se pueden ver las estructuras anatómicas y con ello brindar un diagnóstico mucho más claro así como también prevenir patologías y aplicar un tratamiento lo antes posible.
¿Cuál es el funcionamiento de la ortopantomografía?
El tubo con el que se realiza junto con la placa o también llamado receptor son los que van a determinar cuál es la zona específica de la cabeza en la que se va a proyectar.
En una ortopantomografía la mandíbula se ve en forma de U y los cóndilos se sitúan a unos 2,5 centímetros de los bordes de la película. Las raíces se pueden observar claramente en ambos lados.
Para su realización, se utiliza un receptor de imagen con dos pantallas en donde se tiene una película intercalada en donde se tiene un aparato llamado casete que puede ser blando o rígido y que es un recipiente estanco a la luz.
Cada una de las pantallas tiene una capa fosfórica que cuando se activa la radiación X se fluorece y es lo que quedará en definitiva en la película.
Este método de exposición es diferente al de otras radiografías convencionales que se hace uso de rayos X, por lo tanto en la realización de la ortopantomografía se necesita de mucho menos radiación que en otras radiografías intraorales.
En el momento en que el haz de radiación y el receptor rodean al paciente, se va quedando todo registrado en la película.
Para que haya una buena captación de todo ello, la gran mayoría de aparatos de ortopantomografía cuentan con un control de la posición para que el paciente se posicione adecuadamente.
Es posible que si no se siguen estas guías o control de posición la ortopantomografía salga mal y haya que repetirla, algo que el profesional observará enseguida.
Con todo ello está claro que la ortopantomografía es la herramienta favorita de los odontólogos en la actualidad gracias a la posibilidad de ver en una única imagen toda la estructura bucal del paciente pero además, porque es un estudio que no causa daño al tener una radiación muy baja comparada con otro tipo de pruebas diagnósticas.
Sin duda la ortopantomografía es una de las mejores herramientas para ver desde los maxilares hasta la mandíbula y por supuesto todas las piezas dentales del paciente.
Qué podemos visualizar en una ortopantomografía
Con una ortopantomografía bien realizada se podrán valorar los siguientes casos:
- Caries dentales: en la ortopantomografía se podrá ver si existen caries dentales, aunque de una manera general, si se quiere ver específicamente se solicitara una periapical solo del área.
- Infecciones: cuando hay infecciones, en ocasiones estas lesiones llegan a expandirse más allá del diente y llegan a tocar otros dientes cercanos o hacer lesiones en el hueso.
- Dientes que aún no han erupcionado: en estos casos se ven los gérmenes dentales que están en formación y representan a esos dientes que aún no han salido en la boca.
- Erupción de los dientes en niños: cuando los niños aún tienen su dentadura temporal o mixta se puede ver una cronología de si los dientes han caído en el momento correcto o antes y así poder aplicar un tratamiento si hace falta.
- Lesiones óseas patológicas: se puede valorar la anatomía en el tabique nasal, presencia de asimetrías, senos maxilares, entre otros.
Sin duda la ortopantomografía cuenta con muchas ventajas y por eso es una de las pruebas más requeridas por los profesionales.
A la ortopantomografía se le llama también radiografía panorámica y se trata de un estudio radiológico en donde se pueden ver todos los dientes además de los tejidos y estructuras anatómicas.
Como es una radiografía bidimensional, permite ver los objetivos con mayor volumen y por ende las imágenes se pueden ver superpuestas. Aunque es una radiografía muy útil, en ocasiones la superposición podría no ser beneficiosa ya que no permite ver algunas patologías en concreto.
Por qué hacerse una ortopantomografía
Generalmente, la ortopantomografía se utiliza con el fin de poder valorar cuál es el estado actual de los dientes y de todas las estructuras anatómicas. También se puede conocer si existe la aparición de caries dentales.
Si en la imagen se ven zonas oscuras, eso quiere decir que hay ausencia de tejido duro y por lo tanto de caries.
Otra de las informaciones que nos brinda la ortopantomografía es la extensión de la caries y si hay contacto o no con el nervio del diente, algo fundamental ya que podría causar otro tipo de inconvenientes.
También con la ortopantomografía se pueden ver los dientes incluidos en el hueso y que aún no han erupcionado. Con ello se podrá realizar un cronograma y conocer por ejemplo en los niños cómo será dicha erupción y si necesitará de algún tratamiento específico ya que en la transición de los dientes temporales y permanentes puede haber una malposición de los mismos.
Otras de las funciones de la ortopantomografía es el poder observar la cantidad de estructura ósea que existe y si con ella es posible colocar algún tipo de implante dental, pues si hay muy poco hueso, entonces podría ser que ese no fuera el tratamiento ideal.
Cuándo se realiza una ortopantomografía
Este estudio se envía por distintos motivos y es uno de los más frecuentados por parte de los profesionales quienes suelen tener la posibilidad de hacerlo en la propia clínica. Gracias a la ortopantomografía podrán tener información concreta para brindar un diagnóstico claro al paciente.
Se recomienda la realización de una ortopantomografía en cada visita anual al odontólogo con el fin de poder observar si existe algún cambio trascendental o que aparezca alguna patología concreta que pueda ser diagnosticada a tiempo y así evitar sus consecuencias.
Sin duda la ortopantomografía es una herramienta indispensable hoy en día para los profesionales de odontología por la posibilidad de ver en una única imagen toda la cavidad bucal.




