¿Qué funciones cumplen las carillas dentales?

Una carillas dentales es un tipo de lámina que se coloca sobre el diente con el fin de tapar los problemas que puedan existir en el mismo como pueden ser infecciones, fracturas, alteraciones en los mismos, cambios en el color, entre otros.

Es un tratamiento muy sencillo, fácil y efectivo, que te permitirá tener una sonrisa mucho más armoniosa y agradable.

Funciones de las carillas dentales

Las carillas dentales se colocan pegando la lámina sobre la superficie del diente a través de una resina especial, estas pueden ser tanto de cerámica como de composite. Podríamos decir que es un recubrimiento del diente y que ayuda a que se mejore toda la dentadura del mismo tanto en la arcada superior como en la inferior.

Por ese motivo es que podemos decir que la principal función de las carillas dentales es el de ser una solución estética para los dientes ya que va a hacer que se revistan los mismos y que luzcan con mucha armonía. Tendrás la posibilidad de construir la dentadura que deseas, con el color de dientes que siempre has querido.

Pero además de esta función básica y primordial, el uso de carillas dentales tiene otro tipo de funciones secundarias.

Es importante aclarar que las carillas dentales no van a solucionar ningún problema bucodental, sino que es un tratamiento estético por lo que la recomendación es que previo a su colocación se realicen todos los pasos necesarios referidos a la salud dental para evitar complicaciones a futuro.

Dentro de las funciones secundarias de las carillas dentales se destacan:

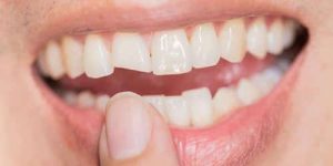
  • Cobertura de fracturas e imperfecciones: las carillas dentales van a cubrir cualquier tipo de imperfección que exista en tus piezas dentales como pueden ser roturas o fracturas parciales. Así, volverás a lucir un diente estéticamente perfecto.

carillas dentales

  • Cobertura de espacios interdentales: es otra de sus funciones ya que existen momentos en donde hay espacios que son realmente antiestéticos por lo que podría ser muy útil aplicar unas carillas dentales para que al sonreír no se note dicho espacio.
  • Corregir color y apariencia de los dientes: a veces, sentimos que nuestros dientes son pequeños, que son cortos y nos gustaría tener unos dientes más bonitos. Lo mismo sucede con el color, que por algún tipo de tratamiento o simplemente por que es nuestro color natural, no nos gusta y quisiéramos tenerlos más blancos. Las carillas dentales son una gran solución para ello pues se podrán colocar del color blanco que desees y ayudar a que la apariencia de los mismos sea tal y como siempre has soñado.

carillas dentales