¿Cómo se realiza una tartrectomía? ¿Cuántos tipos hay?

Aunque su nombre puede sonar raro o desconocido, lo cierto es que cualquier persona sabe lo que es una tartrectomía. La tartrectomía es el término técnico de uno de los tratamientos más habituales en nuestras consultas: la limpieza dental -también llamada profilaxis-. A pesar de que casi todas las personas se han realizado, alguna vez, … Leer más

¿Cuántos dientes tenemos y cuál es su función?

¿Te has preguntado alguna vez cuántos dientes tenemos? ¿Sabías que no todas las piezas dentales tienen la misma función? En el artículo de hoy vamos a darte la respuesta a estas dos preguntas pero, además, te hablaremos de las principales afecciones que influyen en el número de dientes que tenemos. ¿Cuántos dientes tienen los niños? … Leer más

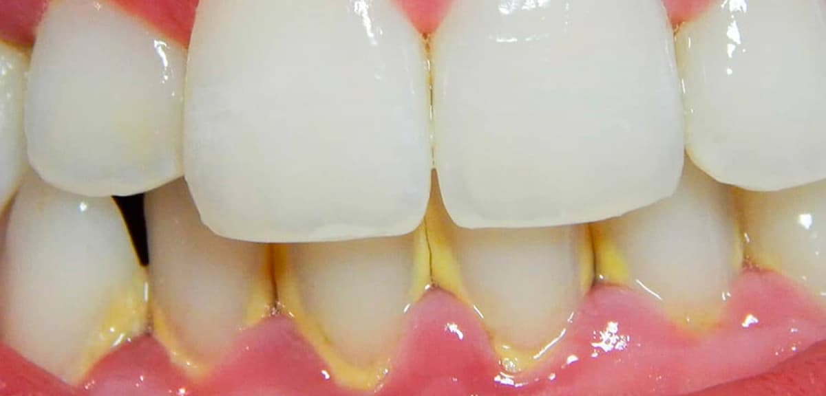
Dientes podridos: causas, consecuencias y tratamientos

¿Has oído hablar alguna vez de los dientes podridos? Esta es una expresión coloquial que se utiliza para describir uno de los problemas más antiestéticos, molestos e incluso peligrosos para nuestras piezas dentales. Por ello, en este artículo vamos a abordar de lleno las causas, las consecuencias y los tratamientos de los dientes podridos. ¿Qué … Leer más

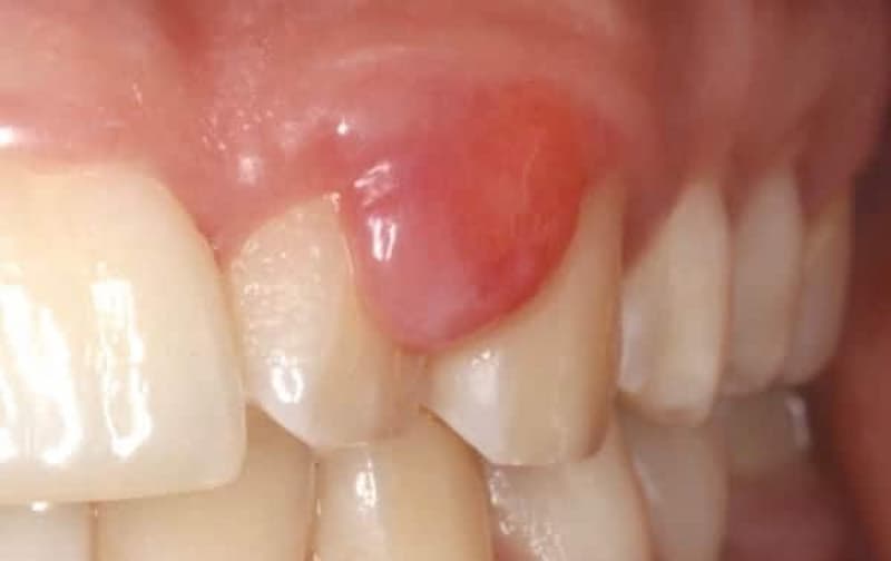
Épulis dental: causas, tratamiento y prevención

Generalmente, el épulis dental no es una afección grave, pero conviene tener muy presente qué es, cuáles son sus causas y cómo se puede prevenir, con el objetivo de evitar posibles consecuencias más graves sobre la salud. Si te han diagnosticado un épulis dental, sigue leyendo. En este artículo te contaremos todos los detalles sobre … Leer más

Tonsiolitos: qué son, causas y tratamiento

Para entender qué son los tonsiolitos en primer lugar es necesario tener claro qué son las amígdalas y cuál es su función. Dicho esto, te recordamos que las personas contamos con dos amígdalas, una a cada lado de la garganta. Las amígdalas forman parte del sistema linfático, por lo que una de sus principales funciones … Leer más